× Aviso Please enter your DISQUS subdomain in order to use the 'DISQUS Comments for Joomla!' plugin. If you don't have a DISQUS account, register for one here
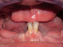
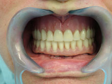
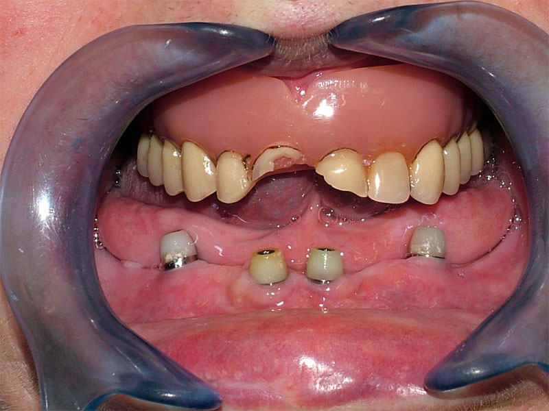
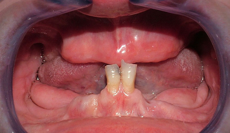
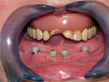
Prótesis híbrida (caso 3)Imprimir | Correo electrónico Paciente que sólo conservaba dos dientes en maxilar inferior Extraemos los dientes y realizamos 4 implantes Nueva prótesis completa superior y prótesis sobre implantes inferior Caso finalizado. Aspecto natural y paciente satisfecha Más casos reales Injerto gingival libre (caso 1) Prótesis carga inmediata (caso 2) Prótesis híbrida (caso 3) Rehabilitación sobre dientes (caso 4) Rehabilitación con implantes (caso 5) Ortodoncia e implante (caso 6) Injerto de tejido conjuntivo subepitelial (caso 7) Injerto de hueso en bloque (caso 8) Reconstrucción conoide con composite (caso 9) Agenesias múltiples resueltas con ortodoncia e implantes (caso 10) Ortodoncia e implantes (caso 11) Injerto de hueso en zona estética (caso 12) Injerto de tejido palatino en recesión canino inferior (caso 13) Injerto e implante en zona estética (caso 14)
Más casos reales Injerto gingival libre (caso 1) Prótesis carga inmediata (caso 2) Prótesis híbrida (caso 3) Rehabilitación sobre dientes (caso 4) Rehabilitación con implantes (caso 5) Ortodoncia e implante (caso 6) Injerto de tejido conjuntivo subepitelial (caso 7) Injerto de hueso en bloque (caso 8) Reconstrucción conoide con composite (caso 9) Agenesias múltiples resueltas con ortodoncia e implantes (caso 10) Ortodoncia e implantes (caso 11) Injerto de hueso en zona estética (caso 12) Injerto de tejido palatino en recesión canino inferior (caso 13) Injerto e implante en zona estética (caso 14)