× Aviso Please enter your DISQUS subdomain in order to use the 'DISQUS Comments for Joomla!' plugin. If you don't have a DISQUS account, register for one here
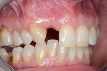
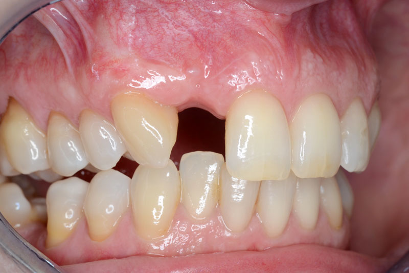
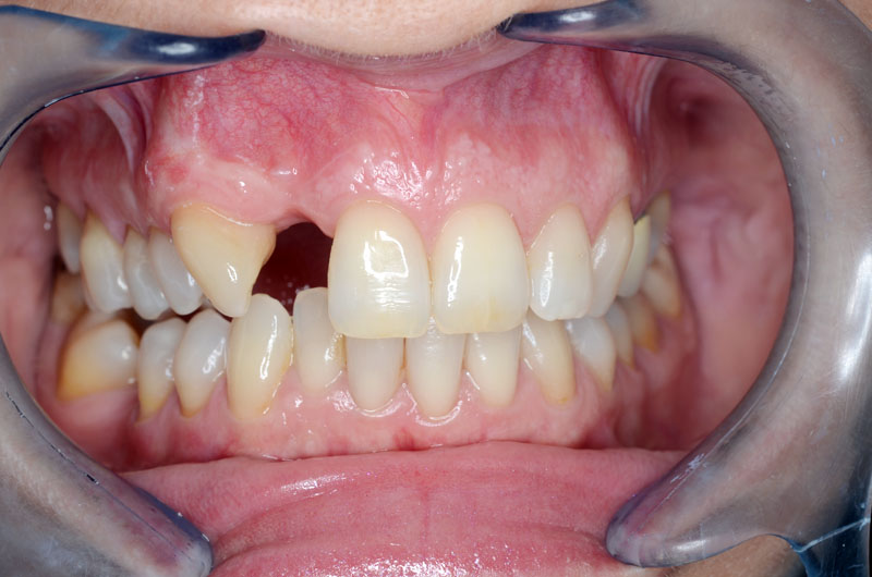
Injerto e implante en zona estética (caso 14)Imprimir | Correo electrónico Ausencia de incisivo lateral con importante defecto óseo que precisa injerto Detalle del defecto Cirugía de implante e injerto óseo Prótesis provisional para modelar los tejidos Caso terminado con recuperación de tejidos duros y blandos El diente perfectamente integrado entre las piezas naturales Más casos reales Injerto gingival libre (caso 1) Prótesis carga inmediata (caso 2) Prótesis híbrida (caso 3) Rehabilitación sobre dientes (caso 4) Rehabilitación con implantes (caso 5) Ortodoncia e implante (caso 6) Injerto de tejido conjuntivo subepitelial (caso 7) Injerto de hueso en bloque (caso 8) Reconstrucción conoide con composite (caso 9) Agenesias múltiples resueltas con ortodoncia e implantes (caso 10) Ortodoncia e implantes (caso 11) Injerto de hueso en zona estética (caso 12) Injerto de tejido palatino en recesión canino inferior (caso 13) Injerto e implante en zona estética (caso 14)
Más casos reales Injerto gingival libre (caso 1) Prótesis carga inmediata (caso 2) Prótesis híbrida (caso 3) Rehabilitación sobre dientes (caso 4) Rehabilitación con implantes (caso 5) Ortodoncia e implante (caso 6) Injerto de tejido conjuntivo subepitelial (caso 7) Injerto de hueso en bloque (caso 8) Reconstrucción conoide con composite (caso 9) Agenesias múltiples resueltas con ortodoncia e implantes (caso 10) Ortodoncia e implantes (caso 11) Injerto de hueso en zona estética (caso 12) Injerto de tejido palatino en recesión canino inferior (caso 13) Injerto e implante en zona estética (caso 14)