×

Aviso

Please enter your DISQUS subdomain in order to use the 'DISQUS Comments for Joomla!' plugin. If you don't have a DISQUS account, register for one here

Un puente sobre implantes


Tres implantes para sustituir 5 piezas
Tres implantes para sustituir 5 piezas

Probamos la estructura de metal
Probamos la estructura de metal

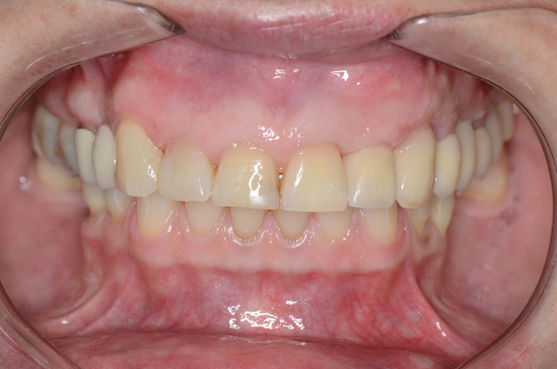
El puente sobre implantes colocado
El puente sobre implantes colocado



Las piezas protésicas parecen naturales
Las piezas protésicas parecen naturales
 
 

 

 

pida-cita1.jpg pida-cita2.jpg pida-cita3.jpg

Casos reales

Ver casos reales odontología

Reciba nuestros boletines y promociones:

captcha